1

Implants

implants

People are living longer than ever, and while regular brushing, flossing, and checkups allow many of us to maintain our natural smiles for a lifetime, sometimes our teeth just can't keep up. If you've lost a tooth (or a few teeth) due to injury or disease, dental implants can rejuvenate both your smile and your oral health.

An implant is a synthetic tooth root in the shape of a post that is surgically placed into the jawbone. The “root” is usually made of titanium: the same material used in many replacement hips and knees, and a metal that is well-suited to pairing with human bone. A replacement tooth is then fixed to the post. The tooth can be either permanently attached or removable. Permanent teeth are more stable and feel more like natural teeth.

The ideal candidate for implants is a non-smoker who has good oral health, including a sufficient amount of bone in the jaw, and healthy gums with no sign of gum disease.

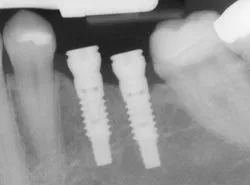
Single or Multiple Implants

implants

Implants are versatile. If you are only missing one tooth, one implant plus one replacement tooth will do the trick. If you are missing several teeth in a row, a few strategically placed implants can support a permanent bridge (a set of replacement teeth). Similarly, if you have lost all of your teeth, a full bridge or full denture can be permanently fixed in your mouth with a strategic number of implants.

Advantages Over Dentures or Bridges

Conventional bridges and dentures are not fixed to the bone, and can therefore be unstable. This can make it difficult to eat or smile with confidence. Implants not only look more natural, but feel and act more like normal teeth, with a stronger biting force. And because they don't directly rely on neighboring teeth for support, implants don't compromise the health of your natural teeth. In fact, bridges are only expected to last seven to ten years, even less with root canals, whereas implants will typically last a lifetime.

X-ray of an implant in position

Post-Treatment Care

Consider your replacement teeth to be the same as natural teeth. They require the same daily brushing and flossing, and the same amount of regular checkups. Just like your natural teeth, the better you take care of your replacements, the longer they will last.

Implant Services

implants hardware

Our implant services include:

  • Sinus Lift Augmentation: Often the sinuses will enlarge following loss of the upper back teeth. This can preclude placement of dental implants in the upper back areas of the mouth, since the sinus is an air-filled space and dental implants need to be surrounded by solid bone. A sinus lift augmentation/graft is a surgical procedure that restores the sinus cavity to its original size, and replaces the bone that has been lost as a result of the enlarged sinus. This new bone graft typically takes nine to 12 months to heal before the dental implants can be placed into the grafted bone.
  • Autogenous Bone Grafting: Occasionally, the ideal areas for dental implants do not have sufficient bone quantity to support the implants. In these cases, it is often necessary to “borrow” bone from another area of your mouth and graft it into the deficient area. Often, the area of choice is from the chin or in the back of the jaw where your wisdom teeth used to be.
  • Implant Site Development: When a tooth needs to be removed due to infection, it is not uncommon to have lost bone around the infected tooth. In these cases, various types of bone grafting can be done at the same time the tooth is removed to facilitate the placement of a dental implant at a later date.
  • Computer-Enhanced Treatment Planning: We have special software on our computer that allows us to evaluate your dental CT scan in three dimensions for bone quality, bone quantity, and bone location, enabling the best possible placement of your dental implants. This also allows us to work closely and smoothly with your restorative dentist to ensure an ideal result where your dental implants are concerned.
  • Implant Maintenance: Once your dental implant restoration is completed, it is important to keep the area clean and infection-free. Dental implants can accumulate plaque and tartar just as teeth can. Whether you have just one tooth replaced by an implant or several, a professional cleaning schedule will be necessary to keep your implants healthy. The time interval for these professional cleanings will be determined by your individual needs.

Questions or Comments?
We encourage you to contact us whenever you have an interest or concern about our services.

Deerfield Beach - (954) 725-3717